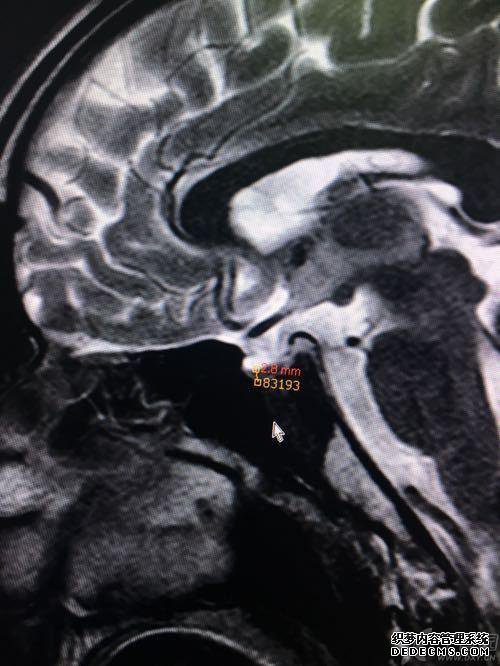
MRI扫描,椅子上充满了脑脊液信号
诊断,疾病是在晚期脑病发作的早期(脑垂体疾病在大脑中具有病理状态,发炎进入脑垂体并导致炎症下降)优势区域血液供应受损的病理改变是原始受影响神经的神经。
如果您可以控制疾病的进展,则需要分析疾病数据并商定有效的治疗方法。否则,该疾病将被延迟,导致更严重的神经病,导致痴呆和瘫痪。
中西医结合治疗方案,改善局部血液中神经营养的微循环供应,滋养神经,软化伤口,调节神经,促进病变再生和修复的
同时,神经再生药物被用来激活麻痹的神经,麻痹的神经再生和修复神经以使其各种功能最大化。
恢复的关键是早期治疗。
我需要发送MRI照片进行定向的帮助。
如果您可以控制疾病的进展,则需要分析疾病数据并商定有效的治疗方法。否则,该疾病将被延迟,导致更严重的神经病,导致痴呆和瘫痪。
中西医结合治疗方案,改善局部血液中神经营养的微循环供应,滋养神经,软化伤口,调节神经,促进病变再生和修复的
同时,神经再生药物被用来激活麻痹的神经,麻痹的神经再生和修复神经以使其各种功能最大化。
恢复的关键是早期治疗。
我需要发送MRI照片进行定向的帮助。
上一篇:和碧莎一起问知识分子